
Sudden Leg Failure Shocks Family and Triggers Emergency (Image Credits: Upload.wikimedia.org)
Atlanta – A rare cyst on the spine of actor Quinton Aaron emerged as a critical finding during his hospitalization after legs gave out while climbing stairs in his apartment.[1][2]
Sudden Leg Failure Shocks Family and Triggers Emergency
Last week, Quinton Aaron experienced a terrifying moment when his legs suddenly stopped functioning. He tumbled while ascending the stairs in his Atlanta apartment. Paramedics rushed the 40-year-old actor to a local hospital. Medical staff admitted him immediately for evaluation.[2]
His manager confirmed Aaron remained stable at that point. The actor communicated with family and team members. Doctors initiated a battery of tests to uncover the cause. Privacy requests accompanied pleas for prayers from supporters. This incident marked the fifth day of his hospital stay by the latest reports.[1]
Escalation to Life Support Amid Blood Infection
Complications mounted quickly after admission. A severe blood infection necessitated intubation on January 23. Aaron relied on an endotracheal tube for breathing support. His wife, Margarita Aaron, described the breathing as sporadic before intervention.[3]
Margarita shared optimistic signs during visits. Aaron opened his eyes and offered a thumbs up. He contributed to his own breathing efforts alongside the machine. Blanket antibiotics targeted potential blood issues. Further imaging, including a bioluminescent MRI, promised clearer answers. She called her husband a strong fighter making day-by-day progress.[4]
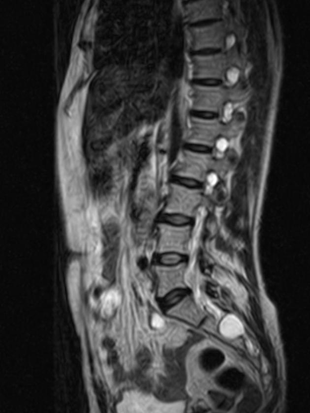
Rare Cyst Uncovered in Spine Scans
Family sources revealed a pivotal discovery to TMZ. Tests detected a rare cyst on Aaron’s spine. Physicians conducted additional exams to assess its nature. Questions lingered over whether the growth proved benign.[1]
This finding tied directly to the actor’s symptoms. The spinal anomaly potentially explained the leg paralysis. Medical teams weighed implications carefully. Aaron’s condition stabilized enough for these diagnostics. Supporters rallied through a GoFundMe campaign that raised over $38,000 for family support.[3]
Potential Surgery and Long Road to Recovery
Back surgery loomed as a possible next step. Such a procedure would demand extensive physical therapy afterward. Aaron might require a wheelchair temporarily. Experts anticipated a lengthy rehabilitation regardless of the cyst’s treatment.[1]
Past health battles underscored Aaron’s resilience. He shed over 200 pounds following a prior near-death episode. Hospitalizations for respiratory issues and fevers marked earlier years. Fans admired his weight loss journey shared on social media. Margarita expressed faith in his full recovery.[4]
Key Takeaways
- Aaron collapsed due to sudden leg failure in his Atlanta apartment, leading to five days in hospital.[2]
- Severe blood infection prompted life support, but he showed thumbs up and breathing progress.[3]
- Rare spinal cyst discovered via tests; more exams determine if benign, surgery possible.[1]
- Family relies on faith and fan support amid expected long recovery.
Quinton Aaron’s determination has carried him through previous crises, and this spinal cyst presents the latest test of that spirit. Medical advancements offer hope, yet the path demands patience from all involved. What are your thoughts on his fight? Share in the comments below.






